院内紹介
プライバシーに配慮した落ち着いた空間で最新機器による歯に優しい治療を行います。
院内のご案内
受付・待合室

クリーム色と木目を基調とした優しい雰囲気の院内です。受付を済まされましたら、お名前をお呼びするまで、こちらで少しお待ちください。
廊下から診察室

お名前をお呼びしましたら、受付の後ろに進んでいただき、この廊下から指定の診察室へお入りいただきます。
診察室
写真奥の木目調の扉が廊下側です。診察室はパーテーションで区切られた、プライバシーに配慮した配置になっています。


キッズスペース

キッズスペースは診療までの待ち時間だけでなく、親御さんの治療中にもご利用いただけます。(事故等の責任は負いかねますので、予めご了承ください。)
医療機器のご案内
安全で確実な滅菌

当院で使用している滅菌器「DACプロフェッショナル」は、日本の規格よりも厳しいヨーロッパの規格基準クラスB規格をクリアした滅菌器です。治療に使用する器具を徹底的に滅菌することで患者さんへの細菌感染の危険性を大幅に低減させ、安心・安全な歯科医療をご提供出来るよう心掛けています。
被ばく線量の少ないレントゲン

「デジタルレントゲン」を導入し、患者さんの被ばく量を極力減らすようにしています。従来のアナログレントゲンの6分の1〜10分の1の被爆線量です。
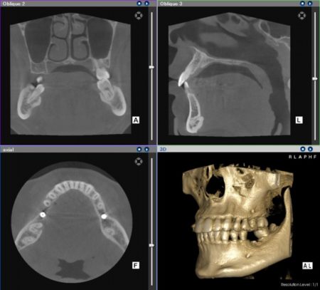
3D画像診断


CT(Computed Tomography)を使って、3D画像のレントゲン写真による診断が可能です。従来のレントゲン写真では見る事の出来ない情報をたくさん得ることができますし、患者様にもわかりやすい画像診断法です。